Pankreas Kanseri hakkında Hasta Bilgilendirme
Pankreas nedir?
Pankreas üst karın bölgemizde mide alt ucunun arkasında yatay düzlemde yerleşmiş bir organımızdır. İnsülin dahil bazı hormonlar salgılayarak yediğimiz gıdalardan alınan şekerin metabolizmasını düzenler. Ayrıca gıdaların sindirimini sağlayan enzim denilen sıvılar salgılar.
Pankreas Kanseri nedir?
Diğer kanserlerde olduğu gibi, pankreas kanserine neyin yolaçtığı bilinmemektedir. Pankreas hücrelerinin DNA’sında mutasyonlar gelişmesi sonucunda pankreas kanseri oluşmaktadır. Bu mutasyonlar kontrolsüz hücre çoğalması sonucu “tümör” denilen oluşuma yolaçar. Pankreas kanserlerinin çoğunluğu pankreas kanallarını döşeyen hücrelerden çıkmaktadır. Bu kanser tipine “pankreatik adenokarsinom” adı verilmektedir.
Pankreas kanserinin belirtileri ve işaretleri nelerdir?
Pankreas kanseri oldukça sinsi bir hastalık olup genellikle ileri evreye gelmedikçe bulgu ve belirtileri ortaya çıkmaz. Genellikle şu belirti ve işaretlerle ortaya çıkmaktadır:
1. Karın ağrısı: Sırta veya bele vuran karın ağrısının nedeni karın bölgesindeki sinirlerin tümör tarafından basılması veya istila edilmesidir.
2. Sarılık (Cilt ve göz akında sararma). Özellikle pankreasın baş bölgesi tümörlerinde karaciğerden çıkan safra yollarının (koledok kanalı) pankreas kanseri tarafından tıkanması sonucu ortaya çıkar. Cildiniz ve göz beyazlarınızda sararma, kaşıntı, idrar renginde koyulaşma ve büyük abdest renginde solukluk ortaya çıkar.
3. Kilo kaybı’nın birkaç nedeni vardır. Kanserin kendisinin iştahı azaltması, mideye tümörün bası yapması sonucu yemek yiyememe, pankreas enzimlerinin barsağa akamaması sonucu alınan gıdaların sindirilememesi bu nedenler arasında yeralmaktadır.
4. Barsak tıkanması oniki parmak bağırsağının pankreas kanseri tarafından istilası veya basısı sonucu ortaya çıkabilmektedir. Bu durumda bulantı ve kusma olabilmektedir.
Pankreas Kanseri tanısı nasıl koyulur?
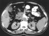
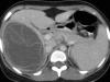
1. Görüntüleme Testleri ile pancreas bezi dahil iç organlarınızın resimlerinin oluşturulması pancreas kanseri tanısında esas yöntemdir. Bu testler ultrason (US), bilgisayarlı tomografi (BT) ve manyetik rezonans görüntüleme (MR) olarak sayılabilir. Bu testler sadece pancreas tümörü tanısını koymaz, ayrıca hastalığınızın hangi evrede olduğunu da saptayarak tedavinizin seçimine yardımcı olmaktadır.
2. Kan Testleri içinde en önemlisi CA 19-9 adı verilen ve pancreas kanseri hücrelerinden salınıp kana geçen özel bir protein türüdür. Pankreas adenokanseri için Tümör İşaretleyici olarak kullanılmaktadır, ancak her zaman güvenilir değildir.
3. Biyopsi, pankreas kanserinin kesin tanısı için gerekli işlemdir. Mikroskop altında incelenmek üzere pankreastan küçük bir parça alınması işlemidir. Bu işlem Bilgisayarlı Tomografi kılavuzluğunda cildinizden bir iğnenin pankreasınıza yerleştirilmesi ile gerçekleştirilir.
Pankreas Kanserinin Evreleri nelerdir?
Yapılan testlerin sınucuna göre doktorunuz hastalığınızın evrelemesini yapmaktadır. Pankreas kanserinin evreleri şu şekildedir:
Evre I. Kanser pankreasta sınırlıdır.
Evre II: Kanser pankreas dışına çevre dokulara ve organlara taşmıştır. Lenf düğümleri tutulmuş olabilir.
Evre III. Kanser pankreas dışına taşıp pankreas yakınındaki damarları tutmuştur. Lenf düğümlerine yayılmış olabilir.
Evre IV. Kanser pankreas dışına çıkmış, karaciğer, akciğer ve karın zarına yayılmıştır.
Pankreas Kanserinin tedavisi nedir?
Pankreas kanserinde tedavi hastalığın evresi, kanserin pankreastaki yeri, hastanın yaşı, genel durumu ve hastanın tercihlerine bağlı olarak değişmektedir. Tedavide ilk hedef mümkünse cerrahi ile kanserli dokunun tamamen çıkartılmasıdır. Pankreas kanseri tipik olarak erken yayılıp nadiren erken evrede tanı koyulduğu için bu çoğu zaman mümkün olmamaktadır. Erken tanı konulsa bile hastalığın iyileşmesi ihtimali oldukça azdır. Hastaların %80-95’inde tanı koyulduğu anda hastalık ileri evrede olduğu için ameliyat yapılamamaktadır. İleri evre pankreas kanserinde cerrahi yapılamayan hastalarda hastalığın ilerlemesini durdurmaya yönelik tedaviler (ilaç ve ışın tedavileri) yapılmaktadır. Ayrıca hastanın bazı rahatsızlıklarını gidermeye yönelik tedaviler uygulanır. Bu rahatlatıcı tedaviler arasında hastanın sarılığının giderilmesi için safra yoluna ciltten girilerek stent koyulması ve ağrının giderilmesi için çölyak gangliyon blokajı denilen ciltten iğne ile girilerek yapılan girişimler bulunmaktadır.
Pankreas Kanserinde Radyoloji Uzmanının Rolü nedir?
1. Pankreas tümörünün saptanması: İç organlarınızı gösteren filmlerle (ultrason, bilgisayarlı tomografi ve manyetik rezonans) ilk tanıyı Radyolog koymaktadır. Sarılık, karın ağrısı ve kilo kaybı gibi pankreas kanserinin belirtileri olan bir hastada ilk yapılacak iş görüntüleme (çoğunlukla bilgisayarlı tomografi) olmalıdır. Böylece bu filmlerle tümörünüzü ilk görüp saptayan doktor Radyologdur.
2. Pankreas kanserinin evrelemesi : Görüntüleme yöntemleri ile radyolog tarafından yapılmaktadır. Bu evrelemeden sonra tedavi seçenekleriniz belli olacaktır.
3. İğne biyopsisi Girişimsel Radyolog tarafından yapılıp hastalığınızın kesin tanısı koyulacaktır. Bu işlem bilgisayarlı tomografi kılavuzluğunda Girişimsel Radyoloji Uzmanı tarafından ciltten bir iğne ile girilerek yapılmaktadır.
4. Safra yolu tıkanıklığının Stent koyularak giderilmesi: İleri evre hastalığı olanlarda (pankreas kanserli hastaların %80-95’inde) sarılığın giderilmesi için Perkütan Transhepatik Kolanjiografi ve Perkütan Biliyer Stent yerleştirilmesi işlemleri yapılmaktadır. Bu girişim anjiografi ünitesinde Girişimsel Radyoloji Uzmanı tarafından yapılmaktadır. Hasta damardan ilaç verilerek uyutulduktan sonra ince bir iğnenin karaciğer içine girilmesi ile yapılmaktadır. Daralmış veya tıkanmış safra yolu açılarak stent denilen metal bir tüp safra yoluna yerleştirilmektedir. Girişimsel radyoloji uzmanı tarafından yerleştirilen metal stent çapı yerleştirilmeden önce (vücudun dışındayken) kalem ucu genişliğinde iken içerde (yerleştirldikten sonra) kendiliğinden genişleyip 10 mm çapa kadar açılmaktadır. Böylece stent tıkanması sorunu en aza inmiş olmaktadır. Halbuki Gastroenterologlar tarafından endoskopla (ERCP ile) yerleştirlen plastik tüplerin iç çapı 2-3 mm kadar genişlikte olup içerisinden yeterli safra akışı olmamakta ve erkenden tıkanmaktadır.
5. Çölyak Gangliyon Blokajı: Karın ağrısının giderilmesi için Girişimsel Radyoloji Uzmanı tarafından yapılan bir diğer girişimdir. İlerlemiş kanserde üst karın bölgesindeki sinirler kanser hücreleri tarafından istilaya uğradığından ağrı ortaya çıkmakta ve ağrı kesici ilaçlarla geçirilememektedir. Bu durumda hastanın ağrısının azaltılması veya giderilmesi amacıyla bilgisayarlı tomografi kılavuzluğunda bir iğne ile karın bölgesindeki sinir trafosuna girilmekte ve alkol ile sinirler yakılıp ağrının sinirler ile beyine iletimi önlenmiş olmaktadır. Böylece hasta ağrı duymamaktadır.
Pankreas Kanserinde Girişimsel Radyoloji’nin 3 Ana Girişimi
1. Kesin tanı için : İğne biyopsisi (BT kılavuzluğunda)
2. Sarılığın giderilmesi için : Perkütan Safra Stenti yerleştirilmesi
3. Ağrının giderilmesi için : Çölyak Blokajı (BT kılavuzluğunda)
Özetle, pankreas kanserli hastalarda Radyoloji Uzmanı hastalığınızın tanısını koyduğu gibi cerrahi yapılamayan hastalarda tedavinizi de gerçekleştirmektedir.









